Згоден
Продовжуючи перегляд сайту, ви погоджуєтеся з тим, що ознайомилися з оновленою політикою конфіденційності та погоджуєтеся на використання файлів cookie.
Дніпро » Новини міста і регіону
Чт, 07 травня 2026
06:25

НОВИНИ МІСТА І РЕГІОНУ

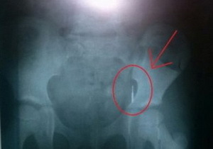
В Днепродзержинской поликлинике из-за ошибки стоматолога 5-летний ребенок проглотил сверло

В Днепродзержинской поликлинике из-за ошибки стоматолога 5-летний ребенок проглотил сверло
В городской левобережной поликлинике произошла ужасная ошибка детского врача-стоматолога Елены Савенко, сообщает Телеканал ТРК "МІС".

21 января пятилетняя Маша вместе с отцом пришла в поликлинику для пломбирования зуба. Из-за ошибки врача девочка проглотила стоматологическое сверло.

Врач сразу же направила девочку к лору, но тот ничего не обнаружил. Далее маленькую пациентку ждало рентгенологическое обследование. Стоматологическое сверло обнаружили в желудке малышки. Жизни Маши ничего не угрожает, уверяют врачи. Это сверло сделано из медицинского металла, поэтому никакого вреда ребенку не принесет. Врачи уверяют, что в течение 7-10 дней оно должно выйти самовольно. Мать девочки в панике, ведь по ее наблюдениям, сверло до сих пор находится в желудке ребенка. Если сверло не выйдет, то понадобится хирургическое вмешательство, а врач за свою ошибку понесет уголовную ответственность.

Gorod.dp.ua на Facebook.

Gorod.dp.ua не несе відповідальності за зміст опублікованих на сайті рецензій користувачів, тому що вони виражають думку користувачів і не є редакційним матеріалом.

Gorod`ской дозор | Обговорити тему на форумах | Розмістити оглошення

Інші новини:

ЗВЕРНИТЬ УВАГУ!
Популярні*:
 за коментарями | за переглядами
•  До 4 тисяч гривень щомісяця: для власників електрокарів готують новий податок (11)

•  Проїзд у міських автобусах Дніпра подорожчає з 20 до 23 гривень (8)

•  У Дніпрі планується демонтаж незаконних споруд: адреси та що варто знати власникам (5)

•  У Дніпрі більшість пасажирів обирають безготівкову оплату проїзду через застосунок «єДніпро» (4)

•  У Дніпрі викрито шахрайську схему із заволодіння квартирами — повідомлено про підозру місцевому мешканцю (3)

•  Сьогодні у Дніпрі розглянуть питання підвищення тарифу у маршрутках (3)

•  На Дніпропетровщині триває досудове розслідування щодо вбивства 17-річного хлопця через необережність — повідомлено про підозру підлітку, який стріляв (2)

•  Суд визнав «Дніпро-1» банкрутом (2)

•  Дві третини українців користуються Національним кешбеком, 41% стали частіше купувати українське - опитування (2)

•  20 років вона радо щодня спускається глибоко під землю... (2)


* - за 7 днів | за 30 днів | Докладніше
Цифра:
30
років Дніпровському метрополітену.

Джерело
copyright © gorod.dp.ua
Всі права захищені. Використання матеріалів сайту можливо тільки з дозволу власника.

Про проект :: Реклама на сайті